打开公众号,设置“星标”,
关注我们了解更多肿瘤资讯!~
允英基于FISH平台开展MAML2、MYB基因重排检测,专注于涎腺肿瘤核心亚型黏液表皮样癌、腺样囊性癌的鉴别诊断,助力临床实现肿瘤早分型、治疗精准化。
FISH MAML2基因重排检测——黏液表皮样癌诊断“指南针”
MAML2基因编码NOTCH蛋白的转录共激活因子,其基因异常以融合为主要形式,已在多种癌症中被发现,包括黏液表皮样癌、鼻咽癌和汗孔癌等。其分子特征与多癌种的发生发展、病理亚型界定及预后判断紧密相关。
黏液表皮样癌(MEC)是由黏液细胞、中间细胞和表皮样细胞构成的恶性涎腺上皮性肿瘤,约占涎腺上皮性肿瘤的10%,多发生在腮腺,其他还包括颌下腺、肺部。MAML2基因重排是MEC的特征性分子标志物,阳性率达40%~90%,且较少见于其他涎腺肿瘤亚型1。检测阳性有助于确诊MEC,尤其在形态学诊断困难时,可辅助区分MEC与其他涎腺肿瘤或肺部肿瘤。目前,2025版CSCO头颈部肿瘤诊疗指南明确推荐FISH方法学检测MAML2基因重排以确定黏液表皮样癌亚型2。

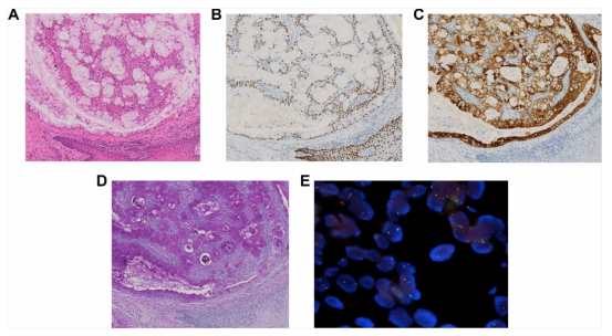
病理及分子分析显示黏液表皮样癌:肿瘤蛋白63(P63)和细胞角蛋白7(CK7)阳性(B、C),过碘酸雪夫(PAS)染色显示黏液细胞阳性(D),FISH确认存在MAML2重排(E)
图片来源于文献4
FISH MYB基因重排检测——腺样囊性癌鉴别“金钥匙”
MYB编码一种主要参与胎儿造血和淋巴细胞发育的转录因子。人类MYB家族包含MYB、MYBL1、MYBL2三个成员,其中MYB的重排已在多种癌症中被发现,如唾液腺腺样囊性癌。其异常改变与肿瘤的发生演进、病理分型细化及预后风险评估密切关联。
腺样囊性癌(ACC),是一种主要起源于唾液腺(如腮腺、颌下腺、舌下腺)的恶性肿瘤,主要与多形性腺瘤、基底细胞腺瘤和腺癌、上皮-肌上皮癌、多形性低度恶性腺癌等相鉴别。在ACC中,MYB基因重排是常见特征,约有80%,可作为ACC与其他肿瘤鉴别的关键标志物,帮助精准诊断。WHO头颈部肿瘤分类(第5版)强调ACC分子亚型,提到疑难病例可进行MYB基因重排分子检测用于辅助鉴别3。2025版CSCO头颈部肿瘤诊疗指南明确推荐FISH方法学检测MYB基因以确定ACC亚型2。

2025 CSCO指南推荐MAML2和MYB检测
有部分黏液表皮样癌、腺样囊性癌病例可能不存在MAML2基因重排或MYB基因重排,可能存在其他未知的分子改变或发病机制,不能因未检测到MAML2基因重排或MYB基因重排就排除诊断。
此外,允英还可提供NTRK3基因重排用于分泌腺癌鉴别诊断、EWSR1基因断裂用于透明细胞癌鉴别诊断。分子异常是鉴别诊断的重要依据,但需结合临床症状、影像学、组织病理及免疫组化等多方面结果综合判断。

参考文献
1.Skálová A, Hyrcza MD, Leivo I. Update from the 5th Edition of the World Health Organization Classification of Head and Neck Tumors: Salivary Glands. Head Neck Pathol. 2022 Mar;16(1):40-53.
2.2025 CSCO 头颈部肿瘤诊疗指南
3.WHO Classification of Tumours Editorial Board. (2022). WHO Classification of Head and Neck Tumours (5th ed.). International Agency for Research on Cancer.
4.Wang P, Liao H, Wang F, Wang Y, Yang H. Mucoepidermoid carcinoma of the base of the tongue: a case report and review of the literature. J Med Case Rep. 2025 Feb 24;19(1):70. doi: 10.1186/s13256-025-05099-0. .
注:本文内容不构成最终临床建议,请以临床医生诊疗建议为准。
温 馨 提 示
由于微信修改了推送规则,没有点“在看”,会慢慢收不到我们的推送哦。
请将“允英”加为星标,每次阅读完后别忘记点下“赞”和“在看”哦。
关于
允英医疗
YUNYING
允英医疗以长三角区域为中心,辐射全中国,公司致力于打造癌症精准诊疗的新型生态圈,综合运用基因突变检测、基因甲基化检测、基因编辑重组等生物科技的前沿技术,全方位提供从癌症早期精准筛查、癌症靶向用药检测、癌症治疗药物研发一体化的肿瘤精准医学解决方案。
允英医疗成立至今,顺利通过近百项由国家卫健委临检中心、国家病理质控中心、美国病理学会等机构组织的室间质评。检验能力获得了美国病理学会(College of American Pathologists,CAP)认证,肿瘤核心基因检测试剂盒通过欧盟CE认证、获得国家药品监督管理局(NMPA)注册批准,且生产管理质量体系获国际ISO13485认证。目前允英已累计为超三十万例肿瘤患者提供精准检测服务,为国内肿瘤精准医疗领域开拓者。同时允英秉承“严谨、高效”的理念,坚守分子诊断技术创新与应用探索,为肿瘤精准医疗与伴随诊断领域的茁壮发展贡献力量。

